Exercise and Vitamin D Supplementation Modify Spleen Morphology in Lean, but not, in Monosodium-Glutamate-Obese Rats
Abstract
An experimental study examines how exercise and vitamin D supplementation affect spleen morphology in lean versus MSG‑obese rats, discussing immunologic implications.
Author Contributions
Academic Editor: Florin Graur, University of Medicine and Pharmacy "Iuliu Hatieganu" Cluj-Napoca, Romania
Checked for plagiarism: Yes
Review by: Single-blind
Copyright © 2019 Zoé Maria Guareschi, et al.
This is an open-access article distributed under the terms of the Creative Commons Attribution License, which permits unrestricted use, distribution, and reproduction in any medium, provided the original author and source are credited.
Competing interests
The authors have declared that no competing interests exist.
Citation:
Introduction
Increased spleen volume may occur in obesity, and can be considered a stable marker of inflammation, as well as of changes in the activation of splenic immune activity. In this regard, the expressions of pro inflammatory cytokines, such as, tumor necrosis factor alpha (TNF-α) and interleukin-6 (IL-6) appear to be augmented in obesity 1, while interleukin-10 (IL-10), an anti-inflammatory cytokine synthesized in the marginal zone of the spleen (B cells), appears to be reduced 2. Thus, the bidirectional interaction between obesity and immune response disorders indicates association with splenic activity, a relationship that has only recently been recognized 3.
Obesity is also associated with vitamin deficiency, in particular, reduced vitamin D (VD) plasma status has been observed in obese subjects 4. Insufficient plasma levels of VD are responsible for disturbances in immune responses, with consequent effects on splenic immune activity 5. However, the exact mechanisms involved in the relationship between obesity and VD deficiency are unknown, as both conditions have direct effects on immune responses 6. Athletes who are VD deficient and aim to improve their physical performance, as well as, invigorate their immune responses, can be benefited with VD supplementation 7 associated with exercises. As previously shown, VD-deficient-rats that received intraperitoneally VD supplementation, presented muscle protein metabolism and muscle mass improving 8, what could be positive to the exercise practice and recovery. Furthermore, VD was effective on modulating the exercise-induced muscle damage and inflammation in rats 9. Exercise decreases the adipose tissue content and metabolic abnormalities present in obesity 6, 10 these effects may be due to sympathetic activation and the action of catecholamines (adrenaline and noradrenaline) 1. Interestingly, the catecholamines have significant effects on immune activity, including on splenic immune response modulation 11.
In a hypothalamic model of obesity, induced by neonatal treatment with monosodium L-glutamate (MSG), neuroendocrine abnormalities such as, excessive adiposity, hyperinsulinemia, insulin resistance (IR), imbalance of autonomic activity, dyslipidemia, glucose intolerance, cardiovascular complications and hyperleptinemia 12, 13 are associated with changes in immune function 14, including splenic dysfunction 15, 16. Interestingly, recent studies have demonstrated that VD, when administered intraperitoneally in MSG obese rats, improved immune responses and metabolic abnormalities 17, 18. Moreover, splenectomy in MSG-obese rats improves IR and reduces adiposity 16. Thus, in the present study, we evaluated the effects of chronic VD supplementation associated with swimming training on morphological aspects of the spleen in lean and MSG obese rodents.
Material and Methods
All experimental procedures were conducted with male newborn Wistar rats; animal protocols were approved by the Committee on Ethics in Animal Experimentation (CEUA/November,15/2015) of the State University of West of Parana. During lactation and growth, rats were maintained in adequate conditions, under controlled lighting (8:00 - 20:00h) and temperature (22 ± 2°C), with free access to standard chow and water, according to the guidelines of the National Council for Control of Animal Experiments (CONCEA).
Hypothalamic Obesity Induction
During their first five days of life, male Wistar rats received daily subcutaneous injections of monosodium glutamate (MSG) in a dose of 4 g/Kg body weight (BW), according to Olney’s protocol (1969) and adapted by Grassiolli et al. (2007) 19. During the same period, the Control (CON) rats received subcutaneous injections of equimolar sodium chlorite (NaCl) solution (1.25 g/Kg BW).
Weaning and Experimental Design
Animals were weaned on the 21st day of life. The rats from the CON (n=24) and MSG (n=24) groups were randomly assigned to exercised (E) or sedentary (S); vitamin D supplemented (VD) or non-supplemented (NS) groups. As such, eight experimental groups were formed (n = 6 rats/group): CON-SNS: Control sedentary non-supplemented; CON-SVD: Control sedentary VD supplemented; CON-ENS: Control exercised non-supplemented; CON-EVD: Control exercised VD supplemented; MSG-SNS: MSG sedentary non-supplemented; MSG-SVD: MSG sedentary VD supplemented; MSG-ENS: MSG exercised non-supplemented; MSG-EVD: MSG exercised VD supplemented.
Vitamin D Supplementation
From 30 to 85 days of life, VD-supplemented animals received, by gavage, the dose of 12µg of VD/Kg of BW dissolved in corn oil (vehicle) 20. The VD was administered three times per week, between 9:00-11:00h AM. To simulate the same stress of oral supplementation, the NS groups received the same volume of vehicle but without VD, for the same period and at the same frequency as for the VD-supplemented groups.
Swimming Protocol
Starting on the 30th day of life until de 85th day of life, animals in the exercised groups were subjected to swimming training, according to a protocol established by Leite et al. (2013) 21. Briefly, the exercised rats swam during 30 minutes in a stainless-steel tank (57 cm length X 105 cm width X 60 cm depth) with the water temperature maintained at 32±2ºC. To avoid accommodation, the animals were loaded with 5% of their body weight tied to their tails. Swimming was conducted in the afternoon period, after which the rats were dried and returned to their cages. Sedentary (S) animals did not swim at any time during the experiment.
Biometric Parameters
The animals were euthanized at 88 days old and at 48 hours after the last swimming training session and VD supplementation and their final BW was registered. To evaluate the efficiency of neonatal treatment with MSG for inducing obesity in rats, white adipose tissue (WAT) from perirenal fat depot was collected and weighed.
Spleen Histology
Following euthanasia, the spleen was collected, cleaned, weighed and immediately transferred to histological fixation solution (ALFAC; 70% alcohol; 37-40% formalin and glacial acetic acid) for 24h, after which the sample was maintained in 70% alcohol. Subsequently, the spleen samples were dehydrated in graded solutions of alcohol (70, 80, 90 and 100%), cleared with xylene and embedded in paraffin (Sigma-Aldrich, MO, USA). The tissues were sectioned into 5-µM semi-serial slices using a Reichert Jung rotary microtome (Leica RM 2025 Microsystems Inc., Wetzlar, Germany) and Hematoxylin and Eosin (H&E) staining. Five microscopic fields per section and three sections per animal (6 rats per group) were analyzed. Stained preparations were photographed (40x objective, 500μm scale) with a photomicroscope (OLYMPUS BX60) coupled to a camera (OLYMPUS DP71) and images were analyzed using Image J software (Bethesda, MD, USA), available from the NIH site (http://rsb.info.nih.gov/ij). Images were evaluated for; the number of white pulps (WP) per field, the lymphatic node (LN) thickness, as well as the germinal center (GC) area in the WP. The LN was determined as the average of the largest and smallest measurements of LN thickness. The percentage (%) of occupation of the GC, in relation to the total WP area, was also calculated. Manually augmented photomicrographs depict representative images of the WP for each group.
Statistical Analysis
Data are presented as mean ± standard error mean (SEM). Student’s t test was used to analyze the ability of neonatal MSG treatment to induce obesity in animals, where (p<0.05) was considered to be statistically significant. The effect of VD supplementation, associated or not with swimming training, was evaluated in CON lean rats and MSG-treated rats, separately, using Two-way ANOVA. When F values were significantly different the Tukey post-test (p<0.05), was applied. Statistical analyses were conducted using Prism for Macintosh, version 5.0 (Graphpad Software, San Diego, CA, USA).
Results
Adiposity and Spleen Histology in MSG-obese Rats
Animals submitted to MSG treatment presented a reduction in BW (26.98%) and higher perirenal fat content (59.09%), in relation to CON lean animals. Moreover, the total spleen weight of the MSG rats was lower (18.75%), in comparison to that of CON lean rats (p<0.05) (Table 1). After the histological analysis of the stained spleen sections, no differences were observed in the number of WP and the GC area, when comparing the spleens of CON and MSG-treated rats. However, the spleens of MSG-treated rats presented an increase of WP area (27.01%; p = 0.0213) and augmented (43.91%; p = < 0.0001) thickness of the LN, in relation to the spleens of CON rats. In contrast, the spleens of MSG-treated rats presented a reduced GC occupation (20.96%; p = 0.0062), in comparison to the spleens of CON rats (Figures 1.a - f).
Table 1. Effect of neonatal MSG treatment on anthropometric parameters.| CON (n=10) | MSG (n=10) | |
| Body weight (g) | 335.80 ± 7.00 | 245.20 ± 8.62* |
| Perirenal Fat (g/100g BW) | 0.22 ± 0.01 | 0.35 ± 0.04* |
| Spleen weight (g/100g BW) | 0.16 ± 0.00 | 0.13 ± 0.01* |
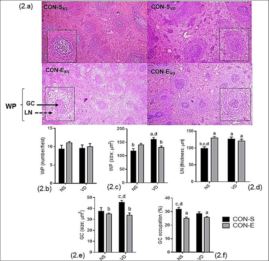
Figure 1.Effect of chronic vitamin D supplementation, associated or not with exercise, on histological aspects of the spleens of lean and MSG-obese rats.
Effects of Chronic VD Supplementation and Exercise on Adiposity and Spleen Histology from Lean Control Rats
As presented in Table 2, the VD supplementation significantly modified BW (F1,53 = 8.488; p = 0.0052), as well as fat content (F1,54 = 7.779; p = 0.0073), in CON rats. Thus, the CON-SVD rats presented higher (11.05%) BW, in comparison to CON-ENS animals (p<0.05). The perirenal fat depot in CON-SVD animals was heavier than those of the three other CON groups, demonstrating a direct effect of VD supplementation (F1,54 = 7.779; p = 0.007). In contrast, exercise reduced fat aggregation (F1,54 = 5.063; p = 0.0285) in CON rats: Animals from the CON-ENS group presented lower perirenal fat depot (42.20%; p= 0.0285) weights, in relation to those of the CON-SVD rats. Importantly, VD supplementation modulated the total spleen weight in the CON groups (F1,51 = 6.061; p = 0.017); however, no differences in the mean values were observed among the groups in the post test.
Table 2. Effects of chronic vitamin D supplementation, associated or not with exercise, on biometric parameters of control lean rats on the 88th day of life.| CON-SNS | CON-SVD | CON-ENS | CON-EVD | ||||
| p-value | |||||||
| VD | E | I | |||||
| BW(g) | 335.80±7.00 | 351.64±5.60c | 316.58±6.66b | 345.15±10.86 | 0.005 | 0.097 | 0.407 |
| Perirenal Fat(g/100g BW) | 0.22±0.01 | 0.28±0.02c | 0.16±0.01b | 0.23±0.02 | 0.007 | 0.028 | 0.883 |
| Spleen (g/100g BW) | 0.168±0.00 | 0.153±0.00 | 0.166±0.00 | 0.155±0.00 | 0.017 | 0.937 | 0.729 |
Neither VD supplementation nor exercise significantly altered WP number in the spleens of CON rats (Figures 2.a - b). However, VD supplementation alone altered the total area of the WP (F1,18 = 5.336; p = 0.0330), where the spleens of CON-SVD rats presented a larger WP area (36.44%), compared to those of the CON-SNS rats (p<0.05). Moreover, the WP area was also influenced by the combination of VD supplementation and exercise (F1,18 = 13.30; p = 0.0018); the mean WP area of the spleens of CON-EVD rats was 18.49% larger than the mean WP area of spleens from CON-SVD rats (Figure 2.c; p<0.05). Exercise practice influenced LN thickness (F1,18 = 5.791; p = 0.0271), where CON-ENS rats presented a thicker LN (31.28%) than CON-SNS rats. Additionally, the combination of exercise and VD supplementation affected LN thickness (F1,18 = 12.61; p = 0.0023); animals from the CON-SVD and CON-EVD groups presented larger LN (28.35% and 22.29%, respectively) than that of the CON-SNS rats (Figure 2.d). The GC percentage was affected by exercise (F1,18 = 17.58; p = 0.0005), where the spleens of the CON-ENS and CON-EVD groups presented lower percentages of GC occupation (21.06% and 19.11%, respectively), in relation to that of the spleens of the CON-SNS group (Figures 2.e - f).
Figure 2.Effect of chronic vitamin D supplementation, associated or not with exercise, on histological aspects of the spleen of lean rats.
Effects of Chronic VD Supplementation and Exercise on Adiposity and Spleen Histology from MSG-Treated Rats
Table 3 depicts the effects of chronic VD supplementation, in association or not with exercise, on the biometric parameters of MSG-obese rats. Neither VD supplementation nor exercise significantly influenced BW or perirenal fat pad weight in the MSG-obese rats (p>0.05). In contrast, VD supplementation alone altered spleen weight (F1,58 = 7.704; p = 0.0074); however, no differences were observed among mean values in the post test.
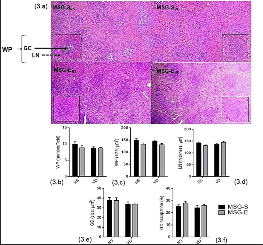
The histological analysis of the stained spleen sections from MSG obese rats (Figure 3.a) showed statistical differences with regard to the total WP area (Figure 3.c), which was affected by exercise practice alone (F1,17 = 7.660; p = 0.0132). The association of VD supplementation and exercise (F1,17 = 7.969; p = 0.0117) altered LN thickness (Figure 3.d) in MSG-rat spleens; however, significant statistical differences were not found for the mean values of total WP area and LN thickness measurements in the post-test. Furthermore, no significant differences were observed for the parameters; number of WP, GC area and GC proliferation (Figures 3.b; e - f).
Figure 3.Effect of chronic vitamin D supplementation, associated or not with exercise, on histological aspects of the spleen of MSG obese rats.
| MSG-SNS | MSG-SVD | MSG-ENS | MSG-EVD | ||||
| p-value | |||||||
| VD | E | I | |||||
| BW(g) | 245.21±8.62 | 249.06±7.83 | 247.00±13.29 | 222.09±7.73 | 0.259 | 0.178 | 0.125 |
| Perirenal Fat(g/100g BW) | 0.35±0.04 | 0.35±0.04 | 0.29±0.02 | 0.34±0.03 | 0.573 | 0.373 | 0.448 |
| Spleen (g/100g BW) | 0.15±0.01 | 0.13±0.00 | 0.15±0.00 | 0.12±0.00 | 0.007 | 0.462 | 0.897 |
Values represent means ± SEM; n = 10 – 15 rats per group. Two-way ANOVA, followed by Tukey’s post-test (p< 0.05; VD: vitamin D; E: Exercise and I: Interaction VD x E). Different letters on the same line represent statistical differences between groups. MSG-SNS: sedentary monosodium glutamate-obese, non-supplemented; MSG-SVD: sedentary monosodium glutamate obese, supplemented with VD; MSG-ENS: exercised monosodium glutamate obese, non-supplemented; MSG-EVD: exercised monosodium glutamate obese, supplemented with VD.
Discussion
Neonatal MSG administration induces hypothalamic lesions, resulting in dysfunctions in the autonomic nervous system (ANS) and endocrine abnormalities, promoting obesity without any alteration in food intake 22, 23. In the present study, as previously demonstrated in the literature 17, 23, MSG-treated rats demonstrated higher WAT accumulation and reduced BW, in relation to CON lean rats.
The rats treated with MSG present an altered inflammatory profile and IR 20, 23. The role of the spleen in this disorder is exemplified by the fact that splenectomy in MSG-treated rats improves obesity and IR, without modifying plasma inflammatory cytokines 16. About the spleen, is a secondary lymphoid organ responsible for immune surveillance against blood-circulating pathogens and the WP is a splenic region rich in lymphocytes T and B 25. Thus, we observed that the spleens of MSG-treated rats demonstrated a reduced weight, accordingly to previously findings 25, 26. Additionally, were verified alterations in splenic morphology in spleen of MSG-rats, such as increased WP area, reduced occupation of GC and augmented thickness of LN, in relation to the spleen of CON lean rats. However, other studies have shown that the MSG-treated rats had atrophy of the WP, absence of GC and abundance of hemosiderophages in the spleen, these data are different from our findings26, 27. Moreover, these authors also observed high presence of cell elements of hematopoiesis, especially megakaryocytes in the red pulp (RP) and large congested blood vessels with thick walls in spleen of MSG-treated rats 26, 27. In addition, was found a decrease in CD3+ T-lymphocyte number in the splenic tissue of MSG-treated rats, besides an unclear differentiation between the RP and WP zones, and a reduction in LN size 27. In contrast, in the present study we observed augmented thickness of LN in MSG-treated rats, in relation to spleens from CON-lean rats.
Obesity is associated with an imbalance between pro and anti-inflammatory cytokines 1. IL-10 is an important anti-inflammatory cytokine, where the spleen is responsible for approximately 30% of circulating IL-10 levels 2. Both subcutaneously-administered MSG and oral MSG administration appear to induce a reduction in plasma IL-10, suggesting that this agent is able to provoke splenic hypo-function and atrophy 14, 28. However, is important to recognize that subcutaneous MSG administration induces hormonal alterations, such as, absence of the growth hormone releasing hormone (GHRH) and growth hormone (GH), as well as high cortisol levels 29. As mentioned by Dorshkind and Horseman (2000) 30, the immunomodulatory properties of GH result from its ability to counteract the negative effects mediated by stress-induced glucocorticoids upon the immune system. In addition, severe somatotrophy deficiency of Ghrh−/− mice essentially affects the spleen and the B compartment of the adaptive immune system, inducing reduced spleen size amongst other effects 31. Taken together, these data show that neonatal subcutaneous MSG administration can exert, direct and indirect immunotoxic effects on the spleen.
The effects of VD on the immune system are well established 32, with VD deficiency playing a role in several immunological diseases 33. Additionally, VD supplementation appears to improve glucose tolerance, insulin sensibility and dyslipidemia in obese subjects 18. We have recently confirmed that oral VD supplementation is able to improve IR and dyslipidemia in MSG-obese rats without affecting adiposity 34. However, in CON lean animals, VD appeared to elevate fat aggregation, especially in relation to exercised rats. The impact of VD on WAT has demonstrated contradictory results. For example, in high fat diet (HFD) obese mice, VD supplementation reduced WAT, but in isolated 3T3-L1 adipocytes, VD has been reported to stimulate adipogenesis 35, 36. Moreover, VDR-/- mice have reduced WAT content 37. In contrast, exercise reduced WAT in lean rats; an effect that was not observed in MSG, suggesting that obese rats present a lower lipolytic response to exercise. Accordingly, neonatal MSG treatment has been shown to alter lipolysis in some fat depots 38.
Interestingly, we observed that VD supplementation promoted an augmentation in the WP area, as well as in the GC area, in spleens from CON lean rats, without altering histological aspects in spleens of MSG-obese rats. VD supplementation can elevate secretion of IL-2 and the proliferation index of T lymphocytes in the spleens of immunosuppressant mice 39 and, in HFD-obese mice, VD supplementation improves spleen morphology, inducing increased WP, with proliferation of LN and augmented immune activity in the spleen 33. These, data suggest that VD supplementation was unable to attenuate or revert the splenic histological abnormalities induced by neonatal MSG treatment. However, changes, induced by VD, in spleen functionality cannot be disregarded. Jin et al. (2018) demonstrated that intraperitoneally-administered VD induced the infiltration of Treg cells in secondary immune organs, such as the spleen and lymphatic nodes 40. Moreover, as mentioned, MSG-obese rats do not produce GH, but present excessive cortisol levels, events that could prevent the effects of VD on the spleen. Further studies are necessary to clarify these hypotheses in the MSG-obese model.
The role of exercise in metabolism is well established; exercise improves glucose and lipid homeostasis 10 and can modulate the immunological system 40. Whether exercise has positive or negative effects on immune responses depends on the intensity, frequency and duration of exercise training 41, 42. Exercise stimulates the sympathetic nervous system (SNS) by inducing the release of catecholamines (adrenaline and noradrenaline) from the adrenal glands, and stimulates the direct action of noradrenaline in tissues innervated by post-ganglionic sympathetic neurons 42, 43, 44. Importantly, the spleen is richly innervated by the SNS and noradrenaline (NE) exerts important immunomodulatory effects in splenocytes 10.
In the present study, CON lean-exercised rats presented augmented LN size, without change in spleen weight. Previous studies have demonstrated that exercise in rodents and humans 45, 46 can reduce spleen weight, via an effect that appears to be dependent on exercise intensity 45. Using a similar exercise training protocol as that applied herein, Shimojo et al. (2019) recently demonstrated that swimming training reduces TNF-alpha production in the spleens of C57BL/6J male mice during endotoxemia 47. Similar results were obtained by Chen et al. (2016) 48. In this study, exercise dampened the secretion of inflammatory mediators, through partial inhibition of TLR4 and p-NF-κB, and activation of PI3K/p-Akt expression in the spleen. Moderate physical training can also abolish the effects of nutritional programming on splenic morphometry in adult rats 49. In contrast, in MSG-treated rats, we observed that swimming training did not modify histological aspects of the spleen. Some studies have demonstrated that positive effects of exercise in immune system are dependent upon HPA activation 50. Neonatal MSG treatment promotes disruption in the HPA axis, potential diminishing the benefits of exercise on the spleen.
Several nutritional strategies have been associated with exercise training, with the aim of improving physical performance or accelerating weight loss 51, 52. Moreover, prolonged exercise and heavy training are associated with depressed immune function; a condition improved by VD supplementation 51, 53. In the present study, the association of VD plus swimming training did not change body weight or WAT mass in either CON lean or MSG-obese rats. Aly et al. (2016) reported that regular moderate exercise training improves the effects of VD by enhancing vitamin D receptor (VDR) responsivity 53. Moreover, Carillho et al. (2013) showed that, in obese or overweight humans, VD supplementation plus exercise elevates muscle potency, in association with an improved VD status and a reduction in waist circumference 54. However, as demonstrated by Van den Heuvel et al. (2013), high intensity exercise exerts a greater impact on plasma VD levels 55. The association of VD supplementation with physical exercise improves metabolic conditions in patients with MS, by maximizing the effects of exercise and should be recommended 54.
To date, no study has investigated the effect of the combination of exercise and VD on the spleen. We demonstrate, for the first time, that there was no additive effect of the association of exercise and VD supplementation on morphological aspects of spleen. In the spleens of CON lean rats, the isolated effects of exercise or VD were maintained. It should be emphasized that both exercise and VD augmented the thickness of the LN, but this effect was not further exacerbated in VD-exercised rats, suggesting that pathways by which these effects are mediated may be similar. In contrast, while VD elevated the area of WP and the size of GC, exercise reduced the GC area as well as GC occupation, suggesting an antagonist impact on this parameter. Recently, forced swimming training was demonstrated to reduce WP and increase apoptotic index in splenocytes 55. It is probable that immunological effects regulated by exercise are determined by SNS activity effects on the spleen, while the action of VD could be, at least in part, dependent upon VDR activation and modulation of other hormonal pathways, such as the action of glucocorticoids 53, 54, 56, 57.
Conclusion
In summary, our data show that neonatal MSG treatment reduces spleen size, in association with an increase in WP area and LN thickness and a reduction in the GC region. Neither exercise nor VD supplementation were able to restore histological aspects in the spleens of hypothalamic obese rats. In contrast, in the spleens of control lean rats, isolated effects of exercise and VD were observed. Thus, both interventions augmented LN thickness, but VD alone elevated WP and GC area, while swimming training reduced GC area, indicating that different splenic pathways were modulated by exercise and by VD supplementation.
Acknowledgments
We wish to thank the Endocrinological Physiology and Metabolism Laboratory (LAFEM) research group, as well as to CAPES by scholarship of MSc thesis of Zoé Maria Guareschi and to the Laboratory of Tissue Biology and Reproduction of UNIOESTE.
References
- 1.Prado W, Lofrano M, Oyama L, Dâmaso A. (2009) Obesity and inflammatory adipokines: practical implications for exercise prescription. doi: 10.1590/S1517-86922009000600012. Revista Brasileira de Medicina do Esporte. 15(5), 378-383.
- 2.Gotoh K, Inoue M, Chiva S, Shumasaki T, Ando H et al. (2012) A novel anti-inflammatory role for spleen-derived interleukin-10 in obesity-induced inflammation in white adipose tissue and liver.doi:. , Diabetes 61(8), 10-2337.
- 3.Francisco V, Pino J, Campos-Cabaleiro V, Ruiz-Fernandes C, Mera A et al. (2018) Obesity, fat Mass and immune system: role for leptin.doi: 10.3389/fphys.2018.00640.Frontiers in Physiology. 9(640).
- 4.Karonova T GrinevaE, Micheeva E, Belyaeva O, Nikitina I. (2013) Vitamin D deficiency is a risk factor for obesity and diabetes type 2 in women at late reproductive age.doi: 10.18632/aging.100582.Aging. 5(7), 575-581.
- 5.Gomaa A, El-Aziz E. (2017) Vitamin D reduces high-fat diet induced weight gain and C-reactive protein. increases interleukin-10, and reduces CD86 and caspase-3. doi: 10.1016/j.pathophys.2017.01.003. Pathophysiology 24(1), 31-37.
- 6.Schmidt A. (2015) Relação entre a deficiência de vitamina D e obesidade: uma revisão atual. Revista Brasileira de obesidade, nutrição e emagrecimento. 9. 207-212.
- 7.Barker T, Henriksen V, Martins T, Hill H, Kjeldsberg C. (2013) Higher serum 25-hydroxyvitamin d concentrations associate with a faster recovery of skeletal muscle strength after muscular injury.doi: 10.3390/nu5041253. , Nutrients 5(4), 1253-1275.
- 8.Wassner S J, Li B J, Sperduto A, Norman M E. (1983) . Vitamin D Deficiency, Hypocalcemia, and Increased Skeletal Muscle Degradation in Rats. doi: 10.1172/jci110947. The Journal of Clinical Investigation 72(1), 102-112.
- 9.Choi M, Park H, Cho S, Lee M. (2013) Vitamin D3 supplementation modulates inflammatory responses from the muscle damage induced by high-intensity exercise. in SD rats. doi: 10.1016/j.cyto.2013.03.018. Cytokine 63(1), 27-35.
- 10.Cannell J, Hollis B, Sorenson M, Taft T, Anderson J. (2009) Athletic performance and vitamin D.doi:. , Journal of the American College of Sports Medicine 41(5), 1102-1110.
- 11.Woods J, Lu Q, Lowder T. (2000) Exerciseinduced modulation of macrophagefunction.doi:. , Immunology and Cell Biology 78(5), 10-1046.
- 12.Andreazzi A, Scomparin D, Mesquita F, Balbo S, Gravena C. (2009) Swimming exercise at weaning improves glycemic control and inhibits the onset of monosodium L-glutamate-obesity in mice. doi: 10.1677/JOE-08-0312.Journal of Endocrinology. 351-359.
- 13.Chen W, Chen Z, Xue N, Zheng Z, Li S et al. (2013) Effects of CB1 receptor blockade on monosodium glutamate induced hypometabolic and hypothalamic obesity in rats. doi: 10.1007/s00210-013-0875-y.Naunyn-Schmiedebergs’s Archives of Pharmacology. 386(8), 721-732.
- 14.Hassan Z, Arafa M, Soliman W, Atteia H, Al-Saeed H. (2014) The Effects of Monosodium Glutamate on Thymic and Splenic Immune Functions and Role of Recovery: Biochemical and Histological study.doi: 10.4172/2157-7099.1000283. , Journal of Cytology & Histology 5(6), 283.
- 15.Krause C, Sarkar D, Walter M, Shi Y. (2004) . Interleukin-10 and related cytokines and receptors. doi: 10.1146/annurev.immunol.22.012703.104622. Annual Review of Immunology 22, 929-979.
- 16.Leite N, Montes E, Fisher S, Cancian C, Oliveira J. (2015) Splenectomy attenuates obesity and decreases insulin hypersecretion in hypothalamic obese rats.doi:. 10.1016/j.metabol.2015.05.003. Metabolism Clinical and Experimental 64, 1122-1133.
- 17.Marcotorchino J, Gouranton E, Romier B, Tourniaire F, Astier J. (2012) Vitamin D reduces the inflammatory response and restores glucose uptake in adipocytes.Molecular Nutrition. , Food Research 56(12), 1771-1782.
- 18.Marcotorchino J, Tourniaire F, Astier J, Karkeni E, Canault M. (2014) Vitamin D protects against diet-induced obesity by enhancing fatty acid oxidation.doi: 10.1016/j.jnutbio.2014.05.010. , Journal of Nutritional Biochemistry 25(10), 1077-1083.
- 19.Grassiolli S, Gravena C, Mathias P. (2007) Muscarinic M2 receptor is active on pancreatic islets from hypothalamic obese rat. doi: 10.1016/j.ejphar.2006.11.022. , European Journal of Pharmacology 556(1), 223-228.
- 20.Sadek M, Shaheen H. (2014) Biochemical efficacy of vitamin D in ameliorating endocrine and metabolic disorders in diabetic rats. doi: 10.3109/13880209.2013.854812Pharmaceutical. , Biology 52(5), 591-596.
- 21.Leite N, Ferreira T, Rickli S, Borck C, Mathias P. (2013) Glycolytic And Mitochondrial Metabolism In Pancreatic Islets From Msg-Treated Obese Rats Subjected To Swimming Training.doi: 10.1159/000343365. Cellular Physiology And Biochemistry. 31-2.
- 22.Macho L, Fickova M, Jezova D, Zorad S. (2000) Late effects of postnatal administration of monossodiumgluatamate on insulin action in adult rats. PMID: 10984075. Physiological Research 49(1).
- 23.Diemen V, Trindade E, Trindade M. (2006) Experimental modeltoinduceobesity in rats. , Acta Cirurgica Brasileira 21(6), 10-1590.
- 24.Elfers C, Ralston M, Roth C. (2011) Studies of different female rat models of hypothalamic obesity. doi:. 10.1515/jpem.2011.098. Journal of pediatric endocrinology & metabolism 24-3.
- 25.Altunkaynak B, Ozbek E, Altunkaynak M. (2007) A stereological and histological analysis of spleen on obese female rats, fed with high fat diet. PMID: 17334458. , Saudi Medical Journal 28(3), 353-357.
- 26.Milan C, Snezana C, Pavlovic V, Zorica J, Gordana T. (2005) Histopathological changes In spleen of rats treated with monosodium glutamate. , Acta Facultatis Medicae Naissensis 22, 191-194.
- 27.Charles I, Kayode B, Kingsley A, Ebenezer I, Peace E. (2017) Histological Changes Following Monosodium Glutamate Ingestion. in Adult Male Wistar Rat. Advances in Biomedical Sciences 2(1), 1-5.
- 28.Falalyeyeva T M, Leschenko Beregova TV. (2017) Probiotic strains of lactobacilli and bifidobacterial alter pro- and anti-inflammatory cytokines production in rats with monosodium glutamate-induced obesity.doi: 1 0.15407/fz63.01.017. , Fiziologichnyi Zhurnal 63(1), 17-25.
- 29.Nobre J, Lisboa P, Carvalho J, Martins M, Vargas S.et al.(2018) Leptin blocks the inhibitory effect of vitamin D on adipogenesis and cell proliferation in 3T3-L1 adipocytes. doi: 10.1016/j.ygcen.2018.01.014. General and Comparative Endocrinology. 266, 1-8.
- 30.Dorshkind K, Horseman N. (2000) The roles of prolactin, growth hormone, insulin-like growth factor-I, and thyroid hormones in lymphocyte development and function: insights from genetic models of hormone and hormone receptor deficiency.doi: 10.1210/edrv.21.3.0397.Endocrine Reviews. 21(3), 292-312.
- 31.Bodart G, Farhat K, Renard-Charlet C, Becker G, Plenevaux A. (2018) . The Severe Deficiency of the Somatotrope GH-Releasing Hormone/Growth Hormone/Insulin-Like Growth Factor 1 Axis of Ghrh-/- Mice Is Associated With an Important Splenic Atrophy and Relative B Lymphopenia. doi: 10.3389/fendo.2018.00296. Frontiers in Endocrinology. 9 296.
- 32.Tarantino G, Savastano S, Capone D, Colao A. (2011) Spleen: A new role for an old player? doi: 10.3748/wjg.v17.i33.3776. , World Journal of Gastroenterology 17(33), 3776-3784.
- 33.El-Fakhri N, McDevitt H, Halsey C, Ahmed S. (2014) Vitamin D and its effects on glucose homeostasis, cardiovascular function and immune function.doi: 10.1159/000357731. Hormone Research in Pediatrics. 81(6), 363-378.
- 34.Guareschi Z M, Valcanaia A C, Ceglarek V M, Hotz P. (2019) The effect of chronic vitamin D supplementation on adiposity and insulin secretion in hypothalamic obese rats. doi: https://doi.org/10.1017/S0007114519000667. , British Journal of Nutrition 1-27.
- 35.Kong J, Li Y. (2006) Molecular mechanism of 1, 25-dihydroxyvitamin D3 inhibition of adipogenesis. in 3T3-L1 cells. doi: 10.1152/ajpendo.00410.2005.American Journal of Physiology Endocrinology and Metabolism 290(5), 916-924.
- 36.Mahajan A, Stahl C H. (2009) Dihydroxy-cholecalciferol stimulates adipocytic differentiation of porcine mesenchymal stem cells. doi: 10.1016/j.jnutbio.2008.05.010. , Journal of Nutrition and 20(7), 512-20.
- 37.Vangoitsenhoven R, Wolden-Kirk H, Lemaire K, Verstuyf A, Verlinden L. (2016) Effect of a transcriptional inactive or absent vitamin D receptor on beta-cell function and glucose homeostasis in mice.doi:. 10.1016/j.jsbmb.2016.02.011.The Journal of Steoroid Biochemistry and Molecular Biology.164 309-317.
- 38.Cheung W, Lee C, Wong C. (1988) Neonatal monosodium-L-glutamate treatment reduced lipolytic response of rat epididymal adipose tissue.doi:. , General 19(4), 10-1016.
- 39.Wang Z, Wang Y, Xu B, Liu J, Ren Y. (2016) Vitamin D improves immune function in immunosuppressant mice induced by glucocorticoid. 10.3892/br.2016.817. Biomedical Reports. 6(1), 120-124.
- 40.Jin W, Cui B, Hua F LiP, Lv X. (2018) 1, 25-Dihydroxyvitamin D3 protects obese rats from metabolic syndrome via promoting regulatory T cell-mediated resolution of inflammation.doi: 10.1016/j.apsb.2018.01.001. , Acta Pharmaceutica Sinica 8(2), 178-187.
- 41.Northoff H, Berg A. (1991) Immunologic mediators as parameters of the reaction to strenuous exercise.doi:. , International Journal of Sports Medicine 9, 10-1055.
- 42.Prestes J, Foschini D, Donatto F. (2006) Efeitos do exercício físico sobre o sistema imune.doi: 10.13037/rbcs.vol4n7.448. Revista de Atenção à Saúde.
- 43.Pedersen B, Steensberg A. (2002) Exercise and hypoxia: effects on leukocytes. andinterleukin-6 – shared mechanisms. doi: 10.1249/01.MSS.0000041387.61286.2B. Medicine & Science in Sports & Exercise 34, 2004-2012.
- 44.Arlt W, Hewison M. (2004) Hormones and immune function: implications of aging. , Aging Cell 4, 10-1111.
- 45.Stewart I, Warburton D, Hodges A, Lyster D, McKenzie. (2003) Cardiovascular and splenic responses to exercise in humans. doi 10.1152/japplphysiol.00040.2002. , Journal of Applied Physiology 94(4), 1619-1626.
- 46.Buchan L, Chaheyla R, Fisher A, Hellings A, Castro M. (2018) High-fat, high-sugar diet induces splenomegaly that is ameliorated with exercise and genistein treatment. , doi:. BMC Research Notes 11(1), 752.
- 47.Shimojo G, Joseph B, Shah R, Consolim-Colombo F, K De Angelis. (2018) Exercise activates vagal induction of dopamine and attenuates systemic inflammation.doi: 10.1016/j.bbi.2018.10.005. Brain, behavior, and immunity. 75, 181-191.
- 48.Chen C, Chen C, Jian C, J Lin P Chou.Attenuation of exercise effect on inflammatory responses via novel role of TLR4/PI3K/Akt signaling in rat splenocytes. doi: 10.1152/japplphysiol.00393.2016.Journal of Applied Physiology. 121(4), 870-877.
- 49.Moita L, Lustosa M, Silva A, Pires-de-Melo I, R de Melo. (2010) Moderate physical training attenuates the effects of perinatal undernutrition on the morphometry of the splenic lymphoid follicles in endotoxemic adult rats.doi:. 18(2), 103-110.
- 50.A M Stranahan, Lee K, M P. (2008) Central Mechanisms of HPA axis Regulation by Voluntary Exercise. , Neuro Molecular Medicine doi:, 10-1007.
- 51.Owens D J, Allison R, Close G L. (2018) Vitamin D and the Athlete: Current Perspectives and New Challenges.doi: 10.1007/s40279-017-0841-9.Sports Medicine. 48, 3-16.
- 52.K I Stanford, L J Goodyear. (2018) Muscle-Adipose Tissue Cross Talk. Perspectives in Medicine , doi: 8(8), 10-1101.
- 53.Y E Aly, A S, M, M. (2016) Effect of exercise on serum vitamin D and tissue vitamin D receptors in experimentally induced type 2 Diabetes Mellitus.doi: 10.1016/j.jare.2016.07.001. , Journal of advanced research 7(5), 671-679.
- 54.A E Carrillo, M G Flynn, Pinkston C, M, Jiang Y et al. (2012) Impact of vitamin D supplementation during a resistance training intervention on body composition, muscle function, and glucose tolerance in overweight and obese adults.doi: 10.1016/j.clnu.2012.08.014. Clinical Nutrition. 32(3), 375-381.
- 55.Heuvel E Van den, N Van Schoor, R De Jongh, Visser M, Lips. (2013) Cross sectional study on different characteristics of physical activity as determinants of vitamin D status; inadequate in half of the population.doi: 10.1038/ejcn.2013.22. , European Journal of Clinical Nutrition 67(4), 360-365.
Cited by (11)
This article has been cited by 11 scholarly works according to:
Citing Articles:
B. S. Siqueira, Ellen Carolina Zawoski Gomes, Thiago Rentz, A. Malta, P. C. de Freitas Mathias et al. - TheScientificWorldJournal (2025) Semantic Scholar
The Scientific World JOURNAL (2025) OpenAlex
The Scientific World Journal (2025) Crossref
PLoS ONE (2023) OpenAlex
Mohamed A. Al-Griw, Hanan N Balog, T. Shaibi, M. Elmoaket, Iman Said Ali AbuGamja et al. - PLoS ONE (2023) Semantic Scholar
PLOS ONE (2023) Crossref
Experimental Physiology (2022) OpenAlex
D. W. de Souza, V. Ceglarek, B. Siqueira, Caroline Zanella Volinski, Juliane Zanon Nenevê et al. - Experimental Physiology (2022) Semantic Scholar
Experimental Physiology (2022) Crossref
Expert Review of Gastroenterology & Hepatology (2021) OpenAlex
G. Tarantino, V. Citro, C. Balsano - Expert Review of Gastroenterology & Hepatology (2021) Semantic Scholar
Expert Review of Gastroenterology & Hepatology (2021) Crossref
Frontiers in Physiology (2021) OpenAlex
J. Kuchler, B. Siqueira, V. Ceglarek, Fernanda Vigilato Chasko, Isllany Carvalho Moura et al. - Frontiers in Physiology (2021) Semantic Scholar
Frontiers in Physiology (2021) Crossref
Mohamed A. Al-Griw, Zohour Marwan, Ismail M. Hdud, T. Shaibi - Open Veterinary Journal (2021) Semantic Scholar
